ИНФАРКТ МИОКАРДА
Патология сердечно-сосудистой системы. Инфаркт миокарда - определение, причины и механизмы развития, классификация, стадийность ...
ПАТОЛОГИЯ
5 смертельных ошибок после инфаркта миокарда. Кардиолог. Москва
Запись на консультацию: https://www.cardioanna.ru WhatsApp: запись на консультацию: 89653073520 Вконтакте: https://vk.com/annakorenevich Instagram: ...
Анна Кореневич. Кардиолог. Москва.
? Самые эффективные методы реабилитации после инфаркта миокарда. Инфаркт миокарда реабилитация. 12+
Реабилитация после инфаркта миокарда. ▷ http://medshort.ru/go/52c03b ◁ Во 2 Госпитале им. А.А. Вишневского применяется уникальный, а главное ...
2 филиал госпиталя им. А.А. Вишневского
Инфаркт миокарда: можно ли отказаться от лекарств? | Доктор Мясников
Подпишитесь на канал "О самом главном" https://www.youtube.com/c/osamomglavnom?sub_confirmation=1 Все выпуски "О самом главном": ...
О самом главном
Жизнь после стентирования. Жить здорово! 09.10.2019
Установка стента позволяет расширить просвет сосуда и восстановить кровоток, нарушенный из-за атеросклероза. Стентирование сосудов сердца ...
Жить Здорово!
Бесплатная диагностика и лечение инфаркта миокарда в Medpark
В Молдове инфаркт можно не только предотвратить, но и лечить на базе страхового полиса. Грамотные специалисты Центра кардиологии и ...
Medpark International Hospital
Инфаркт миокарда лечение. ❤ Первые симптомы и способы лечения инфаркта миокарда. ЦЭЛТ
Узнайте, какие признаки инфаркта миокарда и способы его лечения: ▷ https://goo.gl/7D2HHw ◁ Запишитесь на прием и пройдите обследование в ...
Многопрофильная клиника ЦЭЛТ
Что нужно знать об инфаркте миокарда. О самом главном. Программа о здоровье на Россия 1
Программа о здоровье на Россия 1 «О самом главном» с доктором Мясниковым и доктором Агапкиным. ▷Подпишись на канал Россия 1: ...
Россия 1
Инфаркт миокарда: 3 часа для спасения жизни
https://www.likar.info/video/news-80903-infarkt-miokarda-3-chasa-dlya-spaseniya-zhizni/ Термин "инфаркт миокарда" сегодня знаком каждому взрослому ...
Likar Портал о здоровье
Повторный инфаркт миокарда
ЭхоКГ FOCUS
ИНФАРКТ МИОКАРДА
ИМ (инфаркт миокарда). ОКС (острый коронарный синдром). Классификация. Этиология. Клиника. Диагностика (лабораторная, инструментальная).
Про Мед
Упражнения для пациентов, перенесших инфаркт миокарда и операцию аортокоронарного шунтирования
Два комплекса специализированных физических упражнений для пациентов, перенесших острый инфаркт миокарда и операцию аортокоронарного ...
ГАУЗ МНПЦ МРВСМ ДЗМ
Инфаркт миокарда лечение и реабилитация после инфаркта - упражнения Бубновского
Инфаркт миокарда, обширный инфаркт и так далее... Многие перенесшие инфаркт считают, что восстановиться после него уже не получится. Это не ...
Бубновский
Борис Тодуров: как спастись от инфаркта миокарда ► О пороках сердца #3
В Украине случается 50 тысяч инфарктов в год. Умирает каждый седьмой, все остальные становятся инвалидами. Большую часть этих людей можно ...
Борис Тодуров
Инфаркт миокарда 2019
Российский национальный конгресс кардиологов 2019 24 сентября 09.00 Зал 3.1.
scardioru
Болдуева С.А. "Особенности острого инфаркта миокарда у женщин".
Профессор Болдуева С.А. Заведующая кафедрой факультетской и госпитальной терапии СЗГМУ им. И.И. Мечникова.
Петербургский союз врачей
Лиора Каган "Анализ летальных осложнений острого инфаркта миокарда"
Science Slam Нижний Новгород, 1 апреля 2017, малый зал Milo Concert Hall.
Парк науки
Как жить после инфаркта миоркарда | Кардиолог Беленков "О самом главном"
Подпишитесь на канал "О самом главном" https://www.youtube.com/c/osamomglavnom?sub_confirmation=1 Все выпуски "О самом главном": ...
О самом главном
Инфаркт миокарда 2020
scardioru
Мелкоочаговый инфаркт миокарда лечение
Мелкоочаговый инфаркт миокарда на коронарограмме выглядит как критические стенозы передней межжелудочковой артерии. Сначала была попытка ...
Angio Live
НЕАТЕРОСКЛЕРОТИЧЕСКИЙ ИНФАРКТ МИОКАРДА: РАЗБОР КЛИНИЧЕСКОГО СЛУЧАЯ
Долженко М.Н.
WebCardioOrg
Диагноз не приговор - Инфаркт миокарда (Зарина Халикова)
ТВ Вайнах
Осложнения инфаркта миокарда. Соловьева А.В.
Лектор: доктор медицинских наук, доцент, доцент кафедры факультетской терапии с курсом терапии ФДПО Соловьева Александра Викторовна.
Кафедра факультетской терапии РязГМУ
Инфаркт миокарда без подъема сегмента ST
2-й Международный образовательный форум «Российские дни сердца» 2014.
scardioru
Диспансеризация. Профилактика инфаркта
09-12-2016 16:00 С ведущими врачами обсудим распространенность инфарктов, какие виды имеются, риски возникновения инфаркта.
Mediametrics Doctor
ИНФАРКТ.Зарядка после инфаркта миокарда.С чего начать.Как укрепить свое здоровье.
спортпослеинфаркта#лфк#цигунпослеинфаркта#инфаркт С чего начать восстановление после инфаркта миокарда? Какие упражнения выполнять ...
ДРУГАЯ ЖИЗНЬ
Борис Тодуров о пороках сердца. Инфаркт миокарда
В Украине случается 50 тысяч инфарктов в год. Умирает каждый седьмой, все остальные становятся инвалидами. Большую часть этих людей можно ...
Інститут Серця
Доктор Мясников: Инфаркт миокарда в молодом возрасте
Подпишитесь на канал "О самом главном" ▻ https://www.youtube.com/c/osamomglavnom?sub_confirmation=1 Смотрите все выпуски подряд: ...
О самом главном
О самом главном: Инфаркт у женщин, почечная недостаточность, информированное добровольное согласие
Инфаркт у женщин, почечная недостаточность, информированное добровольное согласие. Программа о здоровье на Россия 1 «О самом главном» с ...
Россия 1
Причины инфаркта миокарда?
На вопрос отвечает: врач - терапевт высшей категории Смирнова Лариса Анатольевна http://www.visus-1.ru.
visus-1
Правильное питание после инфаркта миокарда.
Великий Гипократ сказал: "Мы есть то, что мы едим"! На самом деле очень глубокая мысль. Давайте признаемся себе, что в подавляющем случае ...
ЖИЗНЬ ПОСЛЕ 45
Где и как лечить ИНФАРКТ МИОКАРДА. Профильные курорты и методы санаторного лечения ИНФАРКТА МИОКАРДА
Профильные курорты для лечения после инфаркта миокарда https://www.sanatoriums.com/ru/poisk-zabolevaniya/infarkt-miokarda-perenesennyj 00:00 ...
sanatoriums.com
Живите на здоровье. Выпуск 23. Реабилитация после инфаркта миокарда
Более подробную информацию Вы можете узнать на официальном сайте Телеканала "Гродно Плюс" http://grodnoplustv.by/
Телеканал Гродно Плюс
Инфаркт миокарда. Первая помощь и алгоритм действий.
В этом видео мы расскажем Вам, что такое инфаркт миокарда и стенокардия. Чем опасны данные заболевания? Что делать при болях в сердце?
Urgent Care
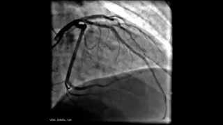
Коронарография и инфаркт миокарда
Коронарография: закрыта крупная артерия сердца (передняя межжелудочковая артерия. Правая артерия сужена, но проходима. Закрытая артерия ...
Angio Live
Повторная реваскуляризация миокарда © Repeated myocardial revascularization
Topics https://www.youtube.com/user/1MGMU/playlists?view=50&sort=dd&shelf_id=22 Repeated myocardial revascularization Повторная реваскуляризация ...
M E Д Ф И Л Ь М
Острый инфаркт миокарда Классификация и Диагностика
В лекции клинка, диагностика и международная классификация 2012г.
nsicu ru
Обширный инфаркт миокарда лечение
Обширный трансмуральный инфаркт в бассейне правой коронарной артерии. Этапы стентирования: Через тромб проведен коронарный проводник.
Angio Live
Второе рождение: жизнь после инфаркта. Жить здорово! 29.08.2018
Как сохранить здоровье после инфаркта и как не допустить его повторения? Что надо делать, чтобы сердце больше вас не подводило? Простые ...
Жить Здорово!
Мужчину с инфарктом миокарда врачи спасали прямо в небе
ZABTV
Что делать при инфаркте миокарда?
Основные рекомендации от врачей отделения скорой медицинской помощи "Городской больницы №40" Отрывок из программы "Диалог у озера" от 21 ...
СПб ГБУЗ Городская больница No40
Мой инфаркт - спустя 18 месяцев (Итог)
Вадим Иванов: https://vk.com/do4ypka https://instagram.com/vadim_do4a_ivanov Bona Fide: https://bonafide.ru/ https://vk.com/bonafide.
Дневник инфарктника