Huntington Chorea As a Presentation of Neurodegeneration With Brain Iron Accumulation (NBIA)
The patient in this video had a Huntington Disease phenotype with abnormal basal ganglia signals on MRI and genetic variants associated with ...
JAMA Network
Cavernous Sinus Thrombosis
A 28-year-old woman treated with amoxicillin/clavulanate for Staphylococcus aureus rhinosinusitis diagnosed by culture of purulent discharge from her right ...
JAMA Network
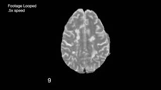
Time-lapse MRI From a Patient With MS and Expanding Rim Lesions
This time-lapse video, constructed from 10 coregistered intensity normalized axial MRI scans (proton density [PD] sequence) obtained over 7 years from a ...
JAMA Network
Neurological Diagnosis- Dr. Selden Spencer, 1/8/14
Neurological Diagnosis MGMC Physician Grand Rounds 1/8/14 Selden Spencer, MD, Neurology McFarland Clinic.
Mary Greeley Medical Center
Tremor and Myoclonus Due To Action Myoclonus Renal Failure Syndrome (AMRFS)
A 22 year old women presented with a bilateral jerky tremor, stimulus-sensitive myoclonus, difficulty with tandem gait, and rapidly progressive renal failure with ...
JAMA Network
Neurology Grand Rounds (6-5-2020)
View CME information and claim credit at https://stanford.cloud-cme.com/neuro06052020 A Continuing Medical Education activity presented by the Stanford ...
Stanford CME
Neuroanatomy is Dead: Long Live Neuroanatomy - American Academy of Neurology
This presentation was a part of the HeadTalks stage at the 2016 AAN Annual Meeting in Vancouver, BA presented by Joseph E. Safdieh MD, FAAN on April 16, ...
AANChannel
Paper 1 - Ling et al JAMA Neurology
Paper 1 - Ling et al - JAMA neurology.
Jackie Hewitt
Dr. Maarten Titulaer speaker "Autoimmune Encephalitis: The Bridge Between Neurology and Psychiatry"
Dr. Maarten Tituler is Assistant Professor of Neurology at Erasmus Research Center, Rotterdam, Netherlands. He combines clinical work with translational ...
HESA Online Org
Vitamin D during Pregnancy, Multiple Sclerosis in Offspring: An observational study.
The study, appearing in JAMA Neurology, links low Vitamin D status during pregnancy to the subsequent development of multiple sclerosis in offspring. But does ...
F. Perry Wilson, MD
Top-Viewed JAMA Network Articles of 2020
JAMA Network journals were a first source for key information about the emerging COVID-19 pandemic throughout 2020. This Medical News video highlights ...
JAMA Network
Time-lapse MRI From a Patient With MS Showing an Expanding Rim+ and a Shrinking Rim− Lesion
This time-lapse video, constructed from 118 coregistered intensity normalized MRI scans (proton density [PD] sequence) obtained over 29 years (average, ...
JAMA Network
[Avec Allodocteurs] Des marqueurs précoces de MND identifiés chez des personnes à risque
En collaboration avec www.allodocteurs.fr. Vous retrouverez régulièrement dans cette playlist les sujets réalisés par le Magazine de la santé & Allodocteurs ...
AP-HP
Early Imaging Detection of ALS and FTD
Amyotrophic lateral sclerosis (ALS) and frontotemporal dementia (FTD) may share a monogenetic cause in the form of hexanucleotide repeat expansions in the ...
JAMA Network
"Bridging Neurologic & Psychiatric Perspectives in FND"
Dr. Davide Perez gives his perspective of the brain and Functional Neurological Disorder. April 2020 World FND Month FND Virtual Conference. To learn more ...
FND Hope
JAMA Pediatrics 2018 and Beyond
Dimitri A. Christakis, MD, MPH describes the mission and vision of JAMA Pediatrics and introduces the journal's editorial team.
JAMA Network
Percutaneous Radiofrequency Lower Face and Neck Tightening Technique
Jason D. Bloom, MD, of Main Line Center for Laser Surgery in Ardmore, Pennsylvania, discusses the technique for use of 2 types of percutaneous ...
JAMA Network
Edward Manno, MD, Summarizes Emerging Evidence of Neurological Manifestations of COVID-19
A recent Northwestern Medicine Grand Rounds presentation by Edward Manno, MD, MS, professor of Neurology and Neurological Surgery, reviews the results ...
Northwestern Medicine
Movement Disorder After Too-Rapid Correction of Hyponatremia And Osmotic Demyelination Syndrome
A 41 year old man developed movement disorders after rapid correction of gastroenteritis-induced hyponatremia (serum sodium = 117 mEq/L (to convert to ...
JAMA Network
How to Submit Your Research Paper to the JAMA Network
Ever wonder what happens to your manuscript after you submit it? From manuscript submission and peer review to all the ways we improve and promote your ...
JAMA Network
The neurology of COVID-19: pathology and clinical implications - Professor Sebastian Brandner
The twelfth expert led seminar in our COVID-19 pandemic series discusses the neurology of COVID-19. Presented by Professor Sebastian Brandner, Professor ...
The Royal College of Pathologists
EEG in the Critically ILL
In this webinar Dr. Lawrence Hirsch focuses on the importance of timely identification of non-convulsive seizures and the recognition of EEG patterns in the ...
Natus Neuro
Seesaw-Pattern Ocular Bobbing
A 35-year-old man was brought to the emergency department following sudden loss of consciousness, with a Glasgow Coma Scale score of 5 (eye opening, 2; ...
JAMA Network
Dancing Dorsal Quadrilaterals Syndrome (Case 3)
A study from JAMA Neurology introduces and characterizes the dancing dorsal quadrilaterals syndrome, a novel peripherally induced movement disorder that ...
JAMA Network
Hemidystonia
JAMA Neurol. Published online October 27, 2014. doi:10.1001/jamaneurol.2014.1077. Read the article here: http://ja.ma/1I1Fnbv.
JAMA Network
Parkinson’s Disease and the COVID-19 Vaccine with Medical Director Michael S. Okun MD
For more information on this topic, visit: https://www.parkinson.org/understanding-parkinsons/covid-19 The Parkinson's Foundation Medical Director Michael S.
Parkinson's Foundation
BrainStorm Cell Therapeutics
Presented by: Chaim Lebovits, CEO BrainStorm Cell Therapeutics is developing innovative, autologous stem cell therapies for neurodegenerative diseases ...
Alliance for Regenerative Medicine
The Greatest Guide To Anisocoria in Heroin Withdrawal - JAMA Neurology - JAMA
The Greatest Guide To Anisocoria in Heroin Withdrawal - JAMA Neurology - JAMA Withdrawal from these drugs by yourself can be extremely difficult and might ...
giuseppina torres
Betamethasone and Improvement of Neurological Symptoms in Ataxia-Telangiectasia 1
Arch Neurol. 2006;63(10):1479-1482. doi: 10.1001/archneur.63.10.1479. Read the article here: http://ja.ma/1CxqLQM.
JAMA Network
AMA Innovations in Medicine: Howard Bauchner, MD
Howard Bauchner, MD, editor-in-chief of The JAMA Network, kicks off Innovations in Medicine with a single question: "How do you manage change in a complex ...
American Medical Association (AMA)
New Study Reveals Acid Reflux Drugs May Be Linked to Dementia -- Saint Thomas Health
Widely used heartburn medications to treat acid reflux might raise the risk for dementia in patients 75 and older. That's according to a new study by German ...
Ascension Saint Thomas
The Top JAMA Network Articles of 2018
JAMAMedNews What were the most popular JAMA Network articles in 2018? In this video we count down the most-viewed articles from each of the JAMA ...
JAMA Network
Neuromyotonia Due to Autoimmune Isaacs Syndrome in a Patient With Psoriasis
This video illustrates muscle twitching (myokymia) in the calf of a 42-year-old man with psoriasis due to Isaacs syndrome, a syndrome of peripheral nerve ...
JAMA Network
Dancing Dorsal Quadrilaterals Syndrome (Case 1)
A study from JAMA Neurology introduces and characterizes the dancing dorsal quadrilaterals syndrome, a novel peripherally induced movement disorder that ...
JAMA Network
COVID-19: How the Pandemic is Impacting Neurology – An Update - American Academy of Neurology
In this COVID-19 update, Joseph E. Safdieh, MD, FAAN, Editor-in-Chief @Neurology Today, joins Richard S. Isaacson, MD, FAAN, for another conversation ...
AANChannel
Clinical Pearls in Autoimmune Encephalopathy - Eoin Flanagan, M.D.
http://www.seattlesciencefoundation.org Seattle Science Foundation is a non-profit organization dedicated to the international collaboration among physicians, ...
Seattle Science Foundation
Esclerose Múltipla - Tratamento da Esclerose Múltipla
Esclerose Múltipla - Tratamento da Esclerose Múltipla Consulte Com Um Especialista Agora (Online ou Presencial)!
Dr. Willian Rezende - Regenerati Neurologia
Study Finds Treatment Promises for Autoimmune Cerebellar Ataxia
While autoimmune cerebellar ataxia (a loss of muscle control coordination) can lead to severe disability with some patients becoming wheelchair-bound, there ...
Mayo Clinic
Prof Bas Bloem: Double Dutch cases | Cutting Edge Science for Parkinson's Clinicians 2019
Prof Bas Bloem, Medical Director, Parkinson Center Nijmegen (ParC) Read more about this presentation: ...
Neurology Academy
COVID-19: Ethical Dilemmas - American Academy of Neurology
In this episode, Richard S. Isaacson, MD, FAAN, speaks with Winston Chiong, MD, PhD, about the various ethical dilemmas neurology professionals are facing ...
AANChannel
Ping-Pong Gaze
JAMA Neurol. Published online September 15, 2014. doi:10.1001/jamaneurol.2014.1072. Read the article here: http://ja.ma/1H3rU1C.
JAMA Network
Roberta Brinton, PhD: Women and Alzheimer's Disease SOUL Food Salon
Roberta Brinton, Ph.D. is Director of the Center for Innovation in Brain Science at the University of Arizona Health Sciences where she is Professor of ...
SOUL Food Salon